ODONTOLOGIA GENERAL, PERIODONCIA, IMPLANTES Y ESTÉTICA

Recupera tu salud oral

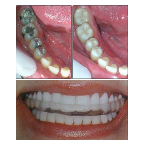
Las enfermedades bucales como la caries o las enfermedades de las encías siguen siendo las de mayor prevalencia, ponemos a tu disposición los últimos tratamientos y la atención más especializada.

ODONTOLOGIA CONSERVADORA
Recuperamos la anatomía y la función dentaria con materiales libres de metales y altamente estéticos.
Realizamos endodoncias con instrumental rotatorio.

PERIODONCIA
Para el cuidado y tratamiento de la encia realizamos raspajes y curetaje periodontales.
Además proponemos tratamientos de regeneración ósea guiada con biomateriales, en cirugías regenerativas previas a la colocación de implantes.

IMPLANTOLOGIA
Colocación de implantes y rehabilitación prótesica.

ESTETICA
Blanqueamiento dental, frentes estéticos en composite y porcelana.

OCLUSION
Dolor oromiofacial, ferulas neuromiorelajantes.
© 2013 Clínica Dental Elena Suárez.
Todos los derechos reservados. Aviso legal. | Política de privacidad